Skip to Content

Smile Gallery

A smile makeover at Distinctive Dentistry helps you achieve a radiant, confident smile through personalized cosmetic treatments tailored to your unique goals.

  • The image features a price tag icon in dark gray with a circular dollar sign ($) in the center. The tag has a hole at the top with a loop, symbolizing attachment to items, representing pricing or cost in retail and commerce.

    Cost

    Smile makeover costs can vary depending on what treatments our team recommends, but we’ll provide a clear, customized plan to suit your budget and smile goals.

    Office Fees
  • The image shows a dark gray hourglass icon on a transparent background. The hourglass is a simple, stylized representation with two bulbs connected by a narrow neck, indicating the passage of time.

    Procedure Duration

    Most smile makeovers can be completed in just a few visits, depending on the treatments included and the timeliness needed in your custom plan.

    Contact Us
  • The image shows a dark gray silhouette of a tooth with three lightning bolts above it, positioned to the left, center, and right. The lightning bolts indicate pain or sensitivity, visually representing a common dental issue like a toothache.

    Pain Level

    With modern techniques and gentle care, most procedures in a smile makeover involve little to no discomfort.

    Sedation Dentistry

Smile Makeovers in Eugene and Florence, OR

Your smile is one of the first things people notice—make it unforgettable. Our smile makeovers combine treatments like veneers, clear aligners, whitening, bonding, and more to correct imperfections and design a radiant, natural-looking smile that matches your personality and aesthetic goals.

Ready for a stunning smile transformation? Our smile makeovers blend artistry and advanced dentistry to create outstanding results. Schedule a consultation with our expert team today, and we’ll help you determine the best cosmetic options for you.

Before

Close-up of a mouth with lips retracted showing upper and lower teeth with good alignment and visible molars. Gums are pink with mild redness in some areas, and molars show yellowing likely from plaque or staining.

After

Close-up of a mouth showing upper and lower front teeth with smooth, white crowns or veneers. Natural teeth toward the back are less uniform, and gums show slight variation in color and texture.

Before

Close-up of a mouth with dental retractors showing upper front teeth with dark decay, cavities, and enamel erosion. Lower teeth are less affected but show wear and staining; gums are pink with mild inflammation

After

Close-up of a mouth with dental retractors showing clean, well-aligned upper and lower front teeth. Gums appear healthy and symmetrical, suitable for dental or orthodontic documentation.

Before

Close-up of a mouth showing upper front teeth with brown and yellow staining, decay, and structural damage. Gums appear slightly inflamed near affected teeth, indicating poor oral hygiene and possible enamel erosion.

After

Close-up of a mouth with upper teeth featuring smooth, uniform crowns or veneers and visible gums. The lips are slightly raised, highlighting the contrast between restored teeth and natural oral features.

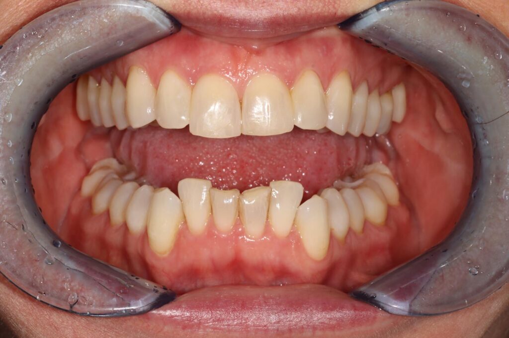
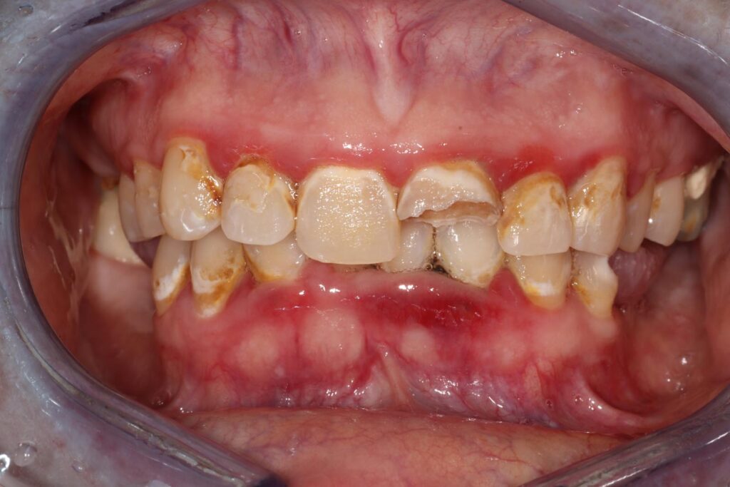
Before

Close-up of a mouth with lips retracted showing upper and lower teeth with extensive decay, discoloration, and plaque. Several upper teeth have visible cavities and dark areas, and the gums appear red and inflamed

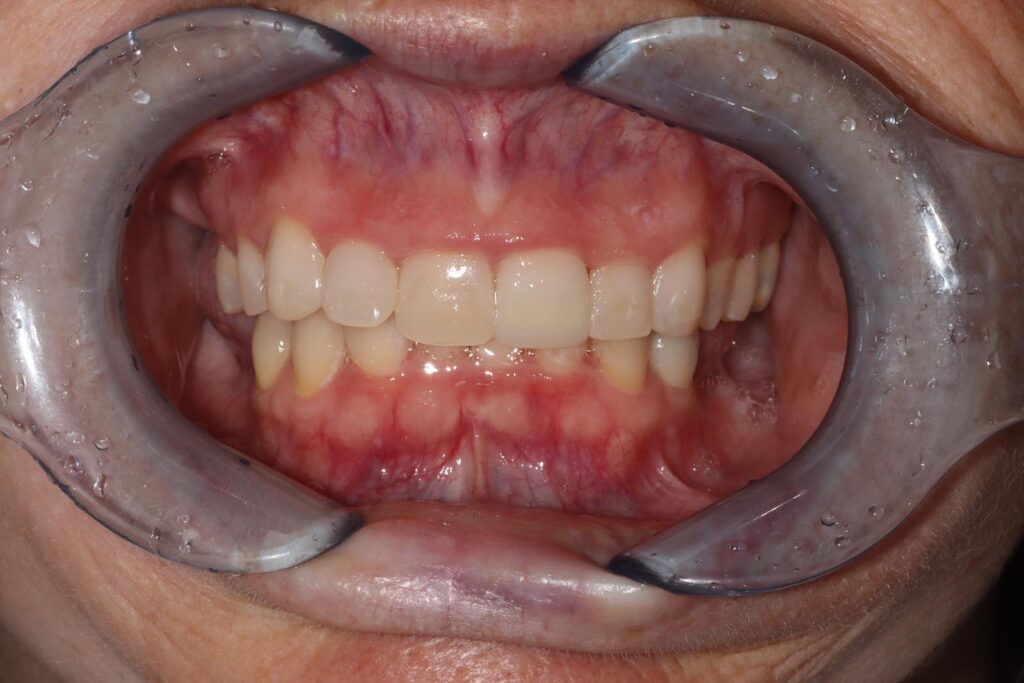
After

Close-up of a mouth with lips retracted showing upper teeth with smooth, white crowns or veneers and lower teeth with wear and discoloration. Gums around the lower front teeth appear slightly inflamed, highlighting contrast between restored and natural dentition.

Before

Close-up of a mouth with facial hair showing upper central incisors with bright, uniform crowns or veneers. Adjacent teeth are discolored and worn, emphasizing contrast between restored and natural dentition.

After

Close-up of a mouth with facial hair showing upper teeth with smooth, glossy veneers and natural lower teeth. The contrast in shape and finish highlights the difference between restored and untreated dentition.

Before

Close-up of a mouth with dental retractors showing upper central incisors with lighter crowns or veneers. Lower teeth are crowded and discolored, highlighting contrast between restored and natural dentition.

After

Close-up of a mouth with lips retracted showing upper teeth with smooth, white veneers and lower natural teeth. The contrast in color and alignment highlights the difference between restored and untreated dentition.

Before

Close-up of a smiling mouth showing upper and lower teeth with slight color variation and spacing. Lips are parted, and surrounding skin has natural texture with visible freckles.

After

Close-up of a smiling mouth showing mostly white, well-aligned teeth with two adjacent teeth appearing yellowed. Lips are parted, and surrounding skin has freckles and natural texture.

Before

Close-up of a mouth with lips retracted showing aligned upper and lower teeth and healthy pink gums. No visible signs of inflammation or disease, suitable for orthodontic or dental evaluation.

After

Close-up of a mouth with dental retractors showing clean, well-aligned upper and lower teeth meeting evenly. Gums are pink and healthy, with no visible signs of inflammation.

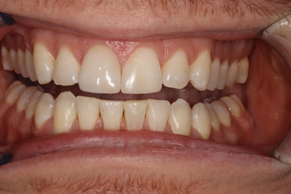
Before

Close-up of a mouth with visible facial hair showing a gap between the upper central incisors. Teeth appear clean and naturally colored, with well-maintained oral hygiene.

After

Close-up of a mouth with visible facial hair showing upper front teeth with crowns or veneers. The restorations are lighter and more opaque than adjacent natural teeth, highlighting contrast in color and texture.

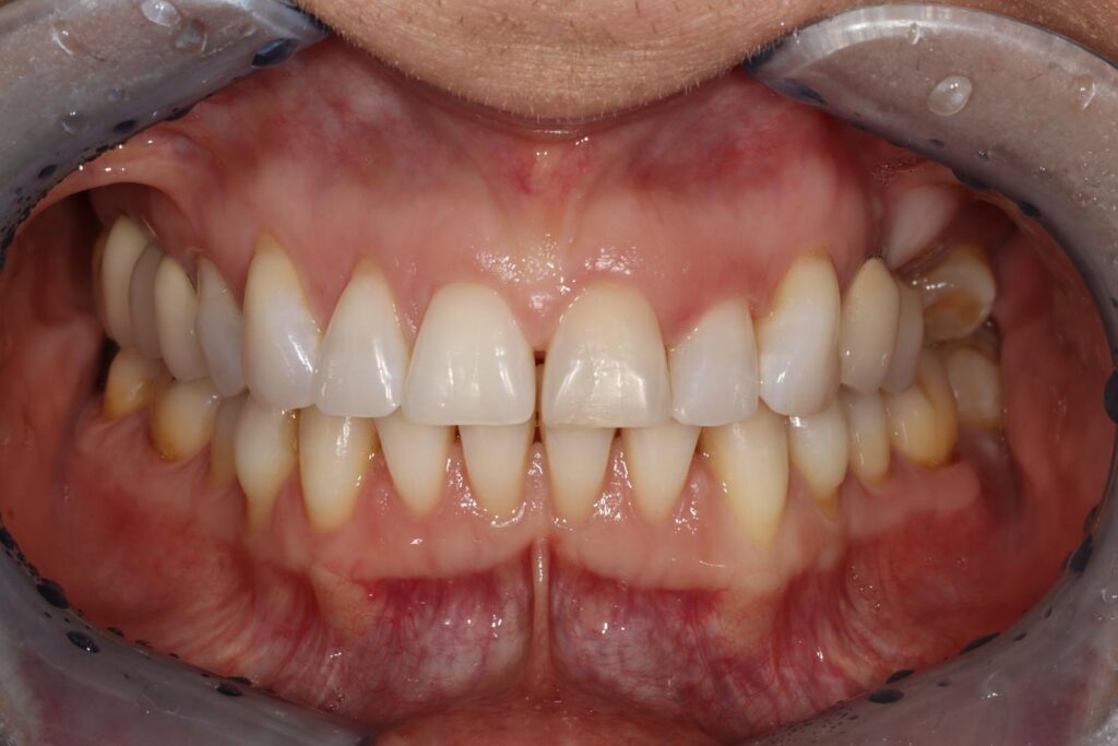
Before

Close-up of a mouth with dental retractors showing upper and lower teeth with heavy staining and plaque buildup. Inflamed gums and calculus deposits suggest poor oral hygiene and possible periodontal disease.

After

Close-up of a mouth with cheek retractors showing well-aligned upper teeth and crowded lower front teeth. Gums appear healthy and pink, suitable for orthodontic evaluation.

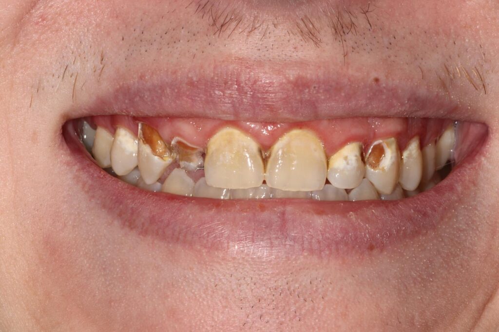
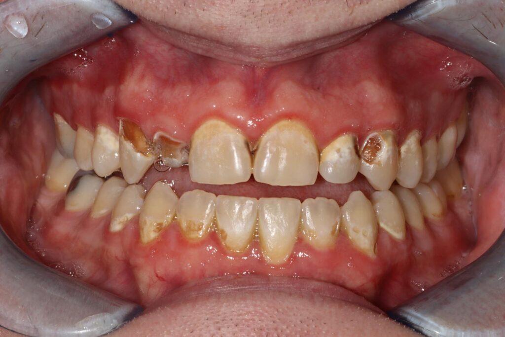
Before

Close-up of a mouth showing extensive decay, dark cavities, and erosion on upper front teeth. Misalignment, inflamed gums, and visible crowns indicate severe oral health issues and restorative interventions.

After

Close-up of a mouth with lips retracted showing teeth with brown staining, enamel wear, and multiple crowns. Inflamed gums and plaque buildup indicate oral health concerns and existing dental restorations.

Before

Close-up of a mouth held open with dental retractors showing upper and lower teeth with mild discoloration and wear. Gums appear healthy and pink, providing a clear view for dental assessment.

After

Close-up of a mouth with lips retracted showing well-aligned upper teeth and crowded lower front teeth. The gums are pink and healthy, with slight protrusion of the upper front teeth.

Before

Close-up of a mouth showing brown stains, enamel erosion, and chipping on upper front teeth. Slight gum inflammation suggests poor oral hygiene or underlying dental issues.

After

Close-up of a smiling mouth showing clean, well-aligned upper teeth with visible crowns or restorations. The gums appear healthy, and the image suggests maintained oral hygiene and cosmetic dental work.

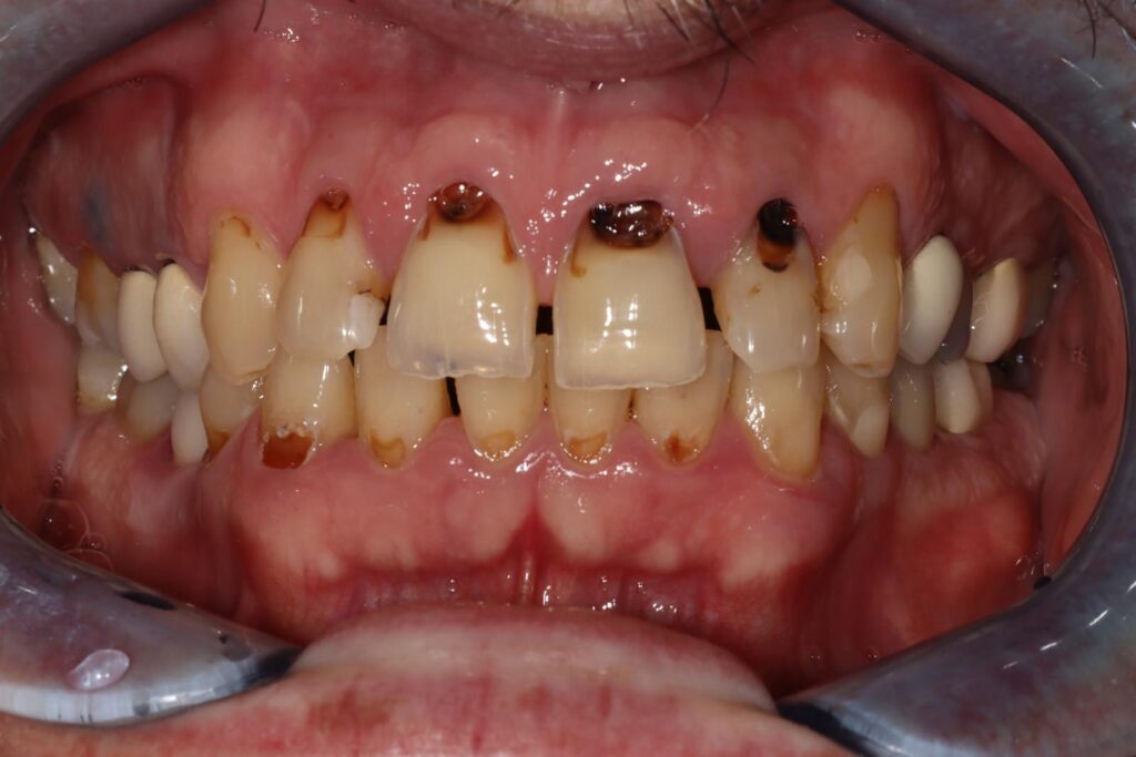
Before

Close-up of a mouth showing severe enamel erosion, discoloration, and decay on upper and lower front teeth. Inflamed red gums suggest gingivitis or periodontal disease, highlighting advanced oral health issues.

After

Close-up of a mouth with cheek retractors exposing upper and lower teeth, some with visible crowns. Gums appear pink with mild redness, and oral tissues are clearly visible for clinical evaluation.

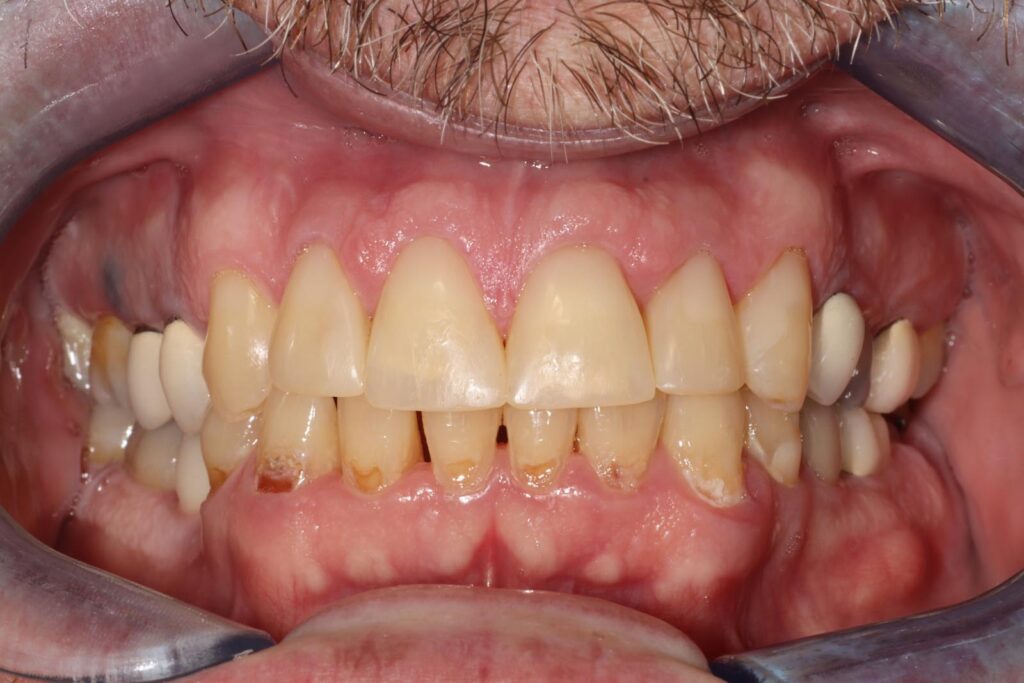
Before

Close-up of a mouth with visible facial hair showing discolored, stained, and misaligned teeth. The mustache and beard contain white and gray strands, emphasizing age-related dental changes.

After

Close-up of a mouth with visible facial hair showing teeth with mixed dental restorations, discoloration, and wear. The image highlights variation in crown shades and gum visibility, useful for cosmetic or clinical evaluation.

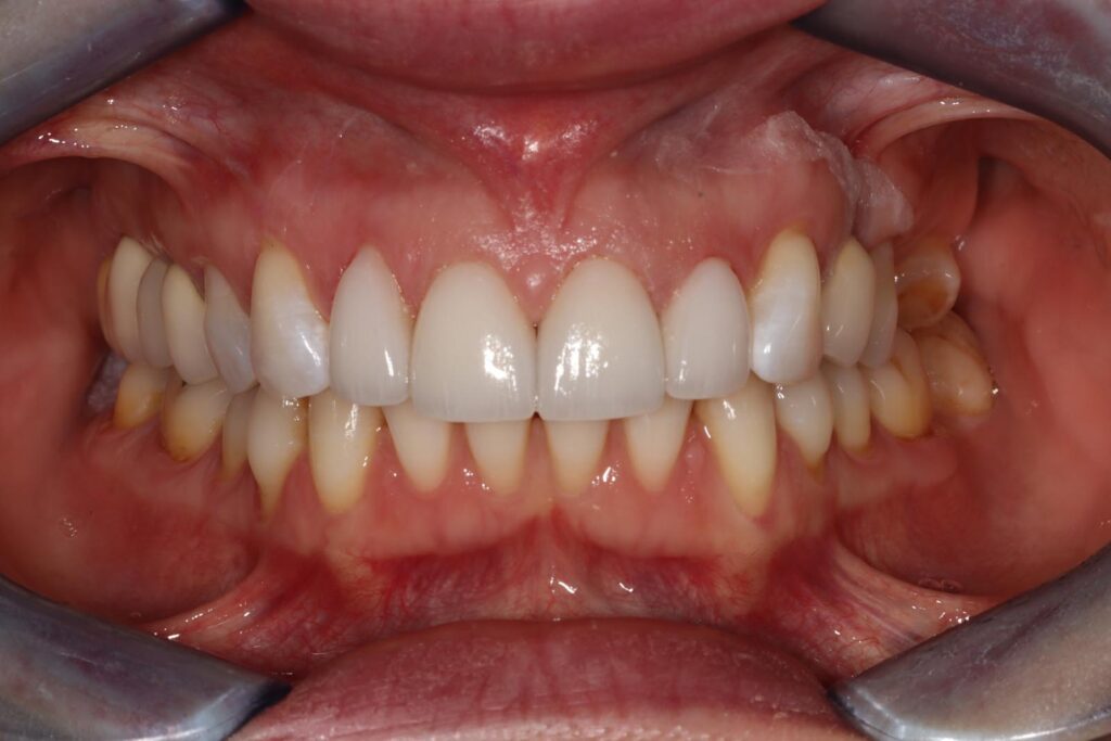
Before

Close-up of a mouth with dental retractors showing white crowns or veneers on front teeth and severe brown decay on molars. The image contrasts restored and untreated areas, highlighting dental disease and cosmetic intervention.

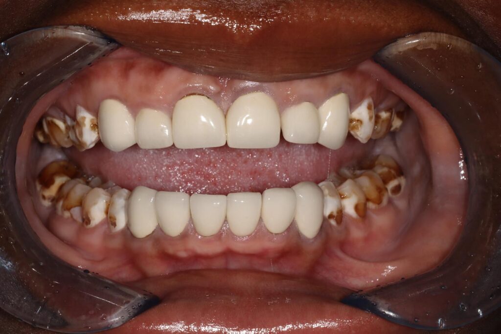
After

Close-up of a mouth with dental retractors exposing upper and lower teeth fitted with crowns or veneers. The teeth are uniformly shaped and colored, with healthy pink gums and symmetrical alignment.

Before

Close-up of a smiling mouth showing dental crowns or veneers on the front teeth with uniform color and shape. Natural teeth at the sides appear discolored, highlighting contrast between restorations and untreated areas.

After

Close-up of a person’s mouth with lips parted, revealing clean, well-aligned upper and lower teeth. The uniform shape and bright color suggest dental veneers or crowns.

Before

Close-up of a person’s mouth with dental retractors exposing natural teeth and visible gums. The image highlights discoloration and wear, useful for assessing oral health and treatment needs.

After

Close-up of a person’s mouth with dental retractors exposing both upper and lower arches in a closed bite. The image provides a clear view of tooth alignment and gum condition for clinical assessment.

01.

A Typical Smile Makeover Process

A smile makeover is a personalized treatment plan designed to enhance the appearance, health, and confidence of your smile. Depending on your needs, it may include teeth whitening, veneers, bonding, crowns, orthodontics, and implants.

The process begins with a detailed consultation and digital imaging to understand your goals and design your ideal smile. From there, our team carefully crafts and performs each treatment step with precision and care, ensuring results that look natural, feel comfortable, and make you proud to share your smile every day.

FAQ

  • What kinds of smile transformations are possible through cosmetic dentistry?

    Cosmetic dentistry can enhance your smile by improving the color, shape, and alignment of your teeth. From whitening and veneers to bonding and reshaping, these treatments help you achieve a brighter, more confident smile.

  • Is a smile makeover permanent?

    While results last for years, maintaining them depends on your oral care routine and keeping up on regular dental visits.

  • Who is a good candidate for a smile makeover?

    A smile makeover is ideal for anyone looking to enhance their confidence and appearance. Whether you have chipped, discolored, misaligned, or uneven teeth, our personalized treatments can help you achieve the smile you’ve always wanted.

Where are we located?

Distinctive Dentistry – Eugene

1775 River Rd.
Eugene, OR 97401

Hours

Monday: 7:50 a.m. - 5:00 p.m.
Tuesday: 7:50 a.m. - 5:00 p.m.
Wednesday: 7:50 a.m. - 5:00 p.m.
Thursday: 7:50 a.m. - 5:00 p.m.
Friday: Closed
Saturday: Closed
Sunday: Closed

Phone

541-689-1287

Email

[email protected]

Distinctive Dentistry – Florence

1705 22nd St.
Florence, OR 97439

Hours

Monday: Closed
Tuesday: 7:50 a.m. - 5:00 p.m.
Wednesday: 7:50 a.m. - 5:00 p.m.
Thursday: 7:50 a.m. - 5:00 p.m.
Friday: 7:50 a.m. - 5:00 p.m.
Saturday: Closed
Sunday: Closed

Phone

541-997-3111

Email

[email protected]